Introduction

As a instructor, all children need to be challenged and nurtured in guild to profit from your instruction. Instruction that is above or beneath the maturity level of a child'south brain is not just inappropriate; it can also pb to behavior problems in your classroom. Inappropriate behaviors — such every bit abstention, challenging authority and aggression towards other students — can be explained by a failure to friction match instruction to the brain maturity of your students.

Yous should also know that all brain functions practice non mature at the same rate. A young kid with highly advanced verbal skills may develop gross and fine motor control more slowly and accept trouble learning to write clearly. Some other kid may be advanced physically just not know how to manage his/her social skills. Others may be cognitively advanced but show emotional immaturity.

For all of these reasons, information technology is of import to sympathise how our brains mature too equally the differences that may exist present at each stage of "normal" evolution.

Practise's and don'ts

The recommendations below are supported by show.

Practice:

  • Exist aware of developmental differences among your students. These differences accept implications for behaviors that students display in your classroom.
  • Understand that normal development varies widely within the same historic period and the same grade. Our educational organisation is fix for the convenience of education large numbers of children in a grade-level classroom. The historic period for archway into a particular grade is not necessarily linked to encephalon maturity for all children. Although you do not determine which children are in your form, yous should be sensitive to the variety of developmental levels presented in your classroom.
  • Be aware that children who are built-in prematurely may not be at the aforementioned developmental level every bit others of their chronological historic period. Children who are born more than viii weeks early may not catch upward to their peers until they are 3 or 4 years old. Although premature children over the historic period of 4 are often duplicate from children who were not premature, there may be prematurely born children who continue to prove delays. Be aware of this possibility when discussing a kid's progress with his/her parents.
  • Exist aware that childhood illnesses — such as ear infections, asthma, severe allergies, frequent hospitalizations, etc. — or family disruption caused by death or divorce may impact a child'southward development. A child with a history of these difficulties may benefit from specific accommodations, including:

    - Sitting at the front of the class.
    - Adjusting his/her pace of school piece of work.
    - Receiving a more overt display of understanding and encouragement by his/her teacher.

    In addition, it is frequently helpful to provide children who have chronic illnesses and/or physical limitations alternate activities and to assist their peers to empathize the reason for offering these dissimilar activities.

  • Be aware that a healthy brain likes to learn, and children learn best when they are exposed to a multifariousness of ideas, experiences, skills and materials. In the early years, children like to explore and learn using several senses or multiple skills at the same time.

    Activities that pair motor and auditory skills can encourage the evolution of both pathways.

    A child who has difficulty with writing and other fine motor skills benefits from lacing cards, mazes and tracing. These activities actually help students develop the visual-motor areas or their brains.

    When a child talks through a difficult visual problem, it can help him/her learn. In other cases, a child whose linguistic communication skills are delayed may benefit from tasks that don't require linguistic communication.

  • Be enlightened that brain systems do not all develop at the aforementioned time or at the same charge per unit. A child may show advanced development in one area and be delayed in another. For case, a child may read early on but be physically clumsy.

    Brain development also does not occur in a straight line. Some skills may develop earlier than other skills. Also, precocious ability does not necessarily last. It is possible for a kid to be accelerated in reading or verbal skills in kindergarten only show average ability past third or fourth class.

Don't:

  • Don't assume that a kid has a disability just because his/her learning is delayed. Be aware that the evolution of cognitive and other skills is often uneven.
  • Don't assume that delays a child is showing today will get better over time. If a child does not improve his/her progress, it is important to assemble more information so refer the kid for further evaluation if indicated.
  • Don't adopt a ane-size-fits-all approach. Experienced teachers vary skills and activities for dissimilar students within a course. Some of this variability works because of the dissimilar life experiences of children and some works considering of differences in brain maturity. Simply, for either reason, variety is a expert thing.
  • Don't place children in groups based solely on age. For some children, learning to read is a struggle. Many are not set to learn to read until they are seven years old, while others are fix at historic period four. (This may exist particularly true for boys.) Social maturity does non correlate with other learning skills. Both social and learning characteristics need to be addressed separately to determine appropriate placement.
  • Don't guess ability based on physical appearance. It's very important not to judge children based on their physical appearance. Children who are taller and/or more than physically mature may non be cognitively advanced. And children with cerebral palsy ofttimes have average to above average power despite significant bug with motor and speech production.

What exercise we know about brain maturation?

Children larn in different ways. And although the maturity of the encephalon is an of import factor when it comes to learning differences, the existent story is more complicated than that. The way children learn depends on age, level of development and brain maturity. Learning differences are also related to genetics, temperament and environment, merely in this module we volition focus on how and when the brain matures.

Earlier birth

Dissimilar brain structures mature at unlike rates and follow unlike paths, merely maturation begins long earlier birth. As a fetus grows, nervus cells (neurons) travel to their eventual locations within the brain. The survival of any one neuron is non guaranteed. There is competition among neurons for limited space and those that do not find a home — a place where they can live and thrive — are pruned back and destroyed. It is not all the same known why some neurons discover a home and others do not, but after a neuron settles down information technology continues to grow and develop within its region of the brain.

When pruning does not happen or is incomplete, disorders in learning and/or behavior can be the event.

Development of the encephalon from 25 days to 9 months:

Brain growth

Preschool years

At nascence, both motor and sensory systems of the brain are already up and running. A newborn infant has enough motor command to feed and to move away from painful or other unpleasant stimuli. Although visual and auditory systems are present at birth, they go on to develop in the get-go few months of life every bit the brain reacts to the environment (Carlson, 2014).

In healthy children, motor and sensory systems go on to develop during toddlerhood and the preschool years. Auditory and visual skills better during this time as well. Since encephalon development after birth is influenced past inputs from the surround, and because those inputs are unique to each kid, every human encephalon is unique.

Note: Inputs from the environment are non always a adept affair. Children built-in prematurely are idea to acquaintance the initial noise and clatter effectually them as painful. Research indicates that a repose surround allows these children to catch upward as their neurons make connections (Rothbart et al., 2003).

Although the age at which a child is ready to learn a specific skill becomes hard-wired as the brain develops, learning itself is also environmentally determined. For example, a child is gear up to acquire to read when his or her auditory arrangement is developmentally ready to distinguish ane sound from another. But if reading didactics is not provided, or if the kid's parents do non enrich the surroundings by reading to him or her, learning to read will be delayed.

Conversely, a child whose auditory system is not set up when reading teaching is provided volition as well be delayed in learning to read.

The ability to read is also enhanced by the development of the auditory cortex and the development of skills involved in remembering what is taught and applying that noesis to real problems.

Note: A key predictor of reading readiness is a child's ability to understand rhyming (Semrud-Clikeman, 2006). This ability translates into skills in understanding how sounds differ and in turn predicts a kid'south success with phonics pedagogy.

At every stage of development, it is important to give children age-appropriate tasks. But, be careful when you lot combine tasks. One historic period-appropriate task plus another historic period-advisable task doesn't necessarily make for an historic period-appropriate feel. For case:

In the early grades, children larn how to coordinate fine motor skills and visual skills. They are able to re-create messages and figures they see. Although this uncomplicated task is automatic for yous, it takes a lot of concentration for them. Therefore, a child should not exist asked to copy items from the blackboard and solve problems at the aforementioned time unless the human action of copying has become automatic.

Early simple years

During the early elementary years, fibers continue to grow between neurons and the white matter of the encephalon (too called myelin). The growing neural networks of continued neurons and fibers are essential to the manual of information throughout the brain. As the brain matures, more than and more fibers abound and the brain becomes increasingly interconnected. These interconnected networks of neurons are very of import to the formation of memories and the connection of new learning to previous learning.

As neural networks form, the child learns both academically and socially. At starting time, this learning is mostly rote in nature. Every bit skills become more than automated, the child does non have to think equally difficult almost what he or she is learning or doing, and brain resources are freed up to exist used for complex tasks that crave more and more attention and processing. Skills in reading, mathematics and writing become more than specialized and developed.

Late elementary to middle school years

The tardily simple and centre school years

From late elementary schoolhouse into center school, inferential thinking becomes more than emphasized in schools, while rote learning is de-emphasized. This shift in focus is supported by the increased connectivity in the encephalon and by chemic changes in the neuronal pathways that support both short and long term memory. These chemical changes can continue for hours, days and fifty-fifty weeks after the initial learning takes place (Gazzaniga, & Magnun, 2014). Learning becomes more consolidated, every bit it is stored in long-term memory.

Neuron

Where does learning occur?

During the early uncomplicated years, the child develops motor skills, visual-motor coordination, reasoning, linguistic communication, social understanding and memory. Every bit learning is consolidated into neural networks, concepts combine into meaningful units that are available for later on use. An ability to generalize and abstract begins at this phase and continues into machismo. Also during this time, the kid learns well-nigh perspective-taking and social interaction. The ability to understand one'southward social place is crucial for the development of appropriate relationships with other people. These skills are closely tied to development of the tracts of the right hemisphere as well as in the areas of the brain that are tied to emotional processing (also called the limbic organisation) (Semrud-Clikeman, 2007). (A tract is a pathway that connects 1 part of the brain with another, ordinarily consisting of myelin-insulated axons. Tracts are known collectively as white thing.)

During the afterwards uncomplicated years and early middle school years, the kid's encephalon activity is mostly in the posterior regions where the areas for auditory, visual and tactile functioning intersect. This intersection is called the association area of the encephalon and generally contains information that has been learned and is at present stored. This is the information that is commonly measured on accomplishment tests and verbally based power tests.

Functional areas

The frontal lobes begin to mature more fully in middle schoolhouse. The maturation continues through high school and adulthood (Semrud-Clikeman & Ellison, 2009). The frontal lobes are a more recent evolutionary development in brains and allow humans to evaluate and adapt their behavior based on past experience. The frontal lobes are also thought to be where social agreement and empathy reside (Damasio, 2008).

The refined development of the frontal white affair tracts begins around age 12 and continues into the twenties. This region of the brain is crucial for college cerebral functions, appropriate social behaviors and the development of formal operations. These tracts develop in an orderly fashion and experience appears to contribute to further evolution.

If you are teaching adolescents, you should emphasize inferential thinking equally well as metacognition. For some adolescents, brain development matches our educational expectations. For others, the two do non coincide and in that location is a mismatch betwixt biological science and education. In this example, the adolescent is unable to obtain the maximum do good from instruction and is ofttimes unable to sympathize more advanced ideas. Although learning problems may exist due to immaturity, they may signal more serious learning or attentional problems.

As connecting tracts in the frontal lobes become more than refined, adolescents are expected to "retrieve" about their behaviors and to change these behaviors. Unfortunately, this is the fourth dimension when adolescents are more than adventure-prone and impulsive than adults. Some of this trend is linked to changes in hormonal evolution as well equally in brain changes.

Lobes of the brain

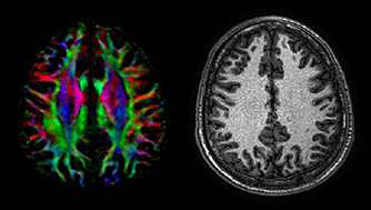
White thing tracts

The figure below shows the white thing tracts in a mature brain. Notice the colored areas that reveal the tracts from front to back of the brain, allowing for good advice both from front to back as well equally from right to left.

Mature brain

Brain changes in the frontal lobe go on at a fast pace during boyhood and the healthy individual becomes meliorate able to control more archaic methods of reacting (such as fighting or being verbally aggressive) in favor of behaviors that are adaptive. Adolescents and immature adults start to see the world through the eyes of others and they go ameliorate at relating to other people.

Their progress toward more than independence can be an exciting but also daunting task. When the transition to more adult behavior is problematic, the difficulty may be due to brain maturation. That's where a instructor tin assist.

Some adolescents need more than structure; others demand more freedom. A instructor is in a unique identify to assist parents and adolescents to understand these boundaries and to tailor their guidance to each situation. Schools are too starting time to recognize that smaller groupings and more contact with adults helps, too. These changes are very appropriate and in tune with the social and emotional needs of adolescents — besides every bit brain maturation — that are occurring at this crucial time.

Summary

In each stage of development, it is of import for teachers to sympathize the relationship between neurological development and learning. This understanding is particularly of import when there is a mismatch between development and educational expectations. The mismatch may be due to brain maturational differences or it can be due to a developmental disability. Research has found differences in encephalon structure, activation and evolution in children with learning disabilities (Aylward, E. H., et al., 2003; Maisog et al., 2008; Shaywitz, 2004), attention arrears hyperactivity disorder (Siedman et al., 2006; Swanson, et al., 2007) and in mood disorders (Konarski, et al., 2008; Pliszka, 2005). Further research is needed in all of these areas.

Myths well-nigh encephalon development and learning

Myth: You can train sure parts of the brain to improve their functioning.

Fact: This has been an attractive and sometimes lucrative idea for many entrepreneurs. Nevertheless, it is not possible to target a specific brain region and teach simply to that role of the brain. The encephalon is highly continued. Neurons in the brain learn recollect and forget, but they practice not do and so in isolation. Skills need to be broken down into their component parts and these parts can be taught. Nevertheless, we do not totally understand how this learning takes place nor do nosotros know exactly "where" in the brain that learning is stored. Evidence from victims of stroke and head injury show that injury to the encephalon of one private may not result in the same loss in the brain of another person (Goeggel, 2012). Brains are similar fingerprints — although there are commonalities, there are differences that make each encephalon unique.

Myth: You are born with sure abilities and these practice not change over time.

Fact: At i time, people believed that the encephalon developed into its total form by the historic period of iii, and that what developed afterwards was merely a matter of refinement. In fact, nosotros at present know that the encephalon is plastic — it changes with experience and evolution. Show shows that rather than ending development at the age of 5, or even 12, brain evolution continues into i'southward twenties. For some adolescents, the maturation of the frontal lobes may not end until age 25. For others, frontal-lobe maturity may be reached by the age of xviii or nineteen. For this reason, some adolescents may require boosted time before they are set for college, while others are set at an earlier age.

Facts near brain development and learning

A kid with a learning disability volition always have the inability.

While a child with a learning inability, or with attending arrears hyperactivity disorder (ADHD), may show standing bug in these areas, there are treatments that may help the child compensate for the problems. (These interventions are discussed in other parts of this module.) The encephalon changes with experience and the directly education of appropriate skills is the most important aspect of learning for children with special needs. Shaywitz (2004) reports success in teaching compensation skills to children with severe dyslexia start at an early age and continuing throughout schoolhouse. Gross-Glenn (1989) establish that adults with an early on history of dyslexia, who had learned to read, had developed different pathways compared to those without such a history. The prove from this inquiry indicates that new pathways can be formed with intervention. Although these pathways are not every bit efficient as those by and large utilized for these tasks, they tin role adequately. Response To Intervention is a method that can assist tailor an intervention to a kid'due south needs (Fiorello, Hale, & Snyder, 2006).

The environment can ameliorate a child'south power.

The environment tin increase ability or it tin lower it. A child with average ability in an enriched environment may well accomplish more than than a bright child in an impoverished environment. Although it is heartening to believe that enrichment can exist effective at any point, contempo research indicates that early enrichment is more beneficial than afterward enrichment. The brain grows in spurts, particularly in the 24th to 26th week of gestation, and between the ages of one and two, two and four, middle babyhood (roughly ages viii to 9) and adolescence (Semrud-Clikeman & Ellison, 2009). These brain growth spurts are roughly commensurate with Piaget's stages of development. They coincide with periods of fast learning of language and motor skills in the one to 4 twelvemonth onetime child; physical operations in middle childhood; and formal operations in adolescents. These areas need farther study, specially with regard to interventions.

Skills such every bit working retentivity, planning, organisation and attention develop over time with encephalon maturation and with exercise.

  • Working memory is the ability to keep data in mind while solving a problem. For young children, teachers need to requite directions one at a fourth dimension. For late elementary school children, directions can be given in a express series of steps. For children with difficulty in this expanse, it is helpful to have them echo the directions to make sure they retrieve what is asked of them. List steps on the blackboard can also be helpful. Issues in working memory tin can be linked to difficulties with distractibility and/or attending.

  • Executive functions are those skills that let a person to evaluate what has happened, to review what was done, and to change form to an culling or different response (Diamond, 2006). Executive function skills let children to understand what has happened previously and to alter their behavior to fit new situations. Teachers can assistance with executive function development by including exercises that inquire "what do you call up may happen next in the story?" or they can provide story maps.

  • Planning and organisation is the ability to plan and organize is a skill that develops along with the brain's ability to consolidate data. These skills develop slowly and with experience and development. Teachers can help in developing these abilities by initially request the child to recall about the steps needed to complete a projection. Instruction the child how to analyze a trouble is also helpful — what do you need to do start? What do you need to practise next? For older children, direct teaching of outlining tin assist them with writing. The use of day planners and calendars can also help students programme for the completion of longer assignments.

Skills

Working memory

Do yous ever go to a telephone book to wait upwardly a number and retrieve it just long enough to punch it? That'due south an example of working retentiveness. If you lot become distracted between looking upward the number and dialing the number, you volition forget information technology. In social club for something in working memory to be stored, it must be rehearsed and expert. For a immature kid, this is peculiarly hard because attention and distractibility significantly touch on working retentivity. In improver, working memory is mostly a frontal lobe function and for younger children the frontal lobe is non also developed as in older children. Therefore, asking a immature kid to do more than 1, or at the well-nigh ii things at a time will not exist successful — their brains are simply non set. For unproblematic school children, working retentivity improves as the brain matures. Most children in elementary school are able to follow upwardly to four directions at one fourth dimension. For those who are younger, it is possible to practice one direction at a fourth dimension or to have the kid echo the directions — practicing these skills improves functioning. For adolescents, working retentivity may fail due to distractions. To amend the functioning of working retention it is helpful to brand certain the person is listening to you. In improver, even for a fully developed working memory, the memory buffer is sensitive to overload. If a educatee is asked to exercise (or remember) too many things at one time, he/she will not be able to process this information. Similarly, in a lecture format, information needs to be provided both visually and orally in guild for sufficient material to make it into the working memory buffer. The employ of lists, rehearsals and day planners have all been found to be helpful in remembering information that would otherwise overload working memory (Diamond, & Lee, 2011).

Executive functions

Evidence suggests that these skills primarily reside in the frontal lobes and develop over time. Although young children have some power to improve their executive functioning skills based on feedback from teachers and parents, executive functions better with age. Older children become more than practiced with these skills and use them more than flexibly. Information technology is interesting to note that executive functions are negatively affected by lack of focus, and children with ADHD frequently have difficulty with executive functions.

Recent research also indicates that when material is emotionally charged in a negative way (such as the pressure to learn something for a test, or the pressure of being called on by the teacher and fabricated to answer a question), executive functioning decreases. This happens to some degree in every child, but it is particularly true for children with ADHD (Castellanos, Songua-Barke, & Milham, 2006).

When yous are asking whatsoever child to perform a task that requires concentration and planning, it is important to provide as much scaffolding equally possible for the child in order for him/her to profit from education. With maturity, executive performance is related to appropriate behavior in a diverseness of situations.

Posner's model

In Posner's model of attention, both posterior and inductive regions of the brain class a circuitous network that includes subcortical structures such equally the caudate nucleus for processing attention-related activities (Posner, & Rothbart, 2007). In this model, at that place are three networks believed to be involved: alerting, orienting and executive.

The alerting network lets a person know that something different is occurring. The orienting network orients the person to an outcome — where the event is, what the issue is, etc. The executive network coordinates input of information and determines appropriate actions and reactions. Correct frontal lobe dysfunctions are related to deficits in the alerting network, bilateral posterior dysfunctions are consistent with deficits in the orienting network, and left caudate nucleus dysfunctions stand for to deficits in the executive network.

Like to Posner'southward theory, Corbetta and Shulman (2002) suggest that networks in various parts of the brain are involved in attentional functions. They say that the anterior of the brain is involved in selecting or detecting items to exist attended to and preparing goal-driven behavior. The second system is in the temporal-parietal region and the lower frontal regions of the correct hemisphere. It is this organisation that is specialized for the choice of relevant stimuli particularly when an consequence is unexpected. This 2nd network pays attention to ecology events that are important because they are either rare or surprising. As such, this organisation would be a protective system to channel attention to especially threatening or rewarding stimuli.

For further recommendations for skills also see Lynn Meltzer'south "Executive Function in Instruction: From Theory to Practice" (Meltzer, 2011).

Interventions

  1. Reward adept behaviors apace and equally frequently as possible. Please refer to the module on giving praise.
  2. Follow through with consequences. When a kid breaks the established rules, warn once. If the behavior continues, follow through with the promised result immediately.
  3. For excessive activity:
    1. Use activity as a advantage. Alternate a seat-based activeness with a more physical activity. For instance, transport the child to the role with a note for the secretary or give an activity that removes the child from the situation.
    2. Solicit active responses. Examples include talking, moving or organizing responses.
    3. Do not try to reduce physical activeness.
    4. Encourage non-disruptive movement.
    5. Allow students to stand while doing seatwork.
  4. Positively reinforce effort as well every bit success. For instance, tell the child how well he/she is working.
  5. Requite articulate, concise instructions.
  6. Have a kid repeat directions to you lot aloud.
  7. Reinforce directions with a visual reminder when appropriate. For example, provide a list on the blackboard of what is expected and the approximate amount of time that each stride should take.
  8. Allow limited choice of tasks, topics and activities.
  9. Apply a child's interest whenever possible in designing activities or introducing material.
  10. Friction match a child's learning power and preferred method of response.
  11. Allow alternate response modes (computer, taped assignments) with every assignment.
  12. Provide a predictable routine in your form.
  13. Encourage the utilize of color coded folders or other forms of personal organizers.
  14. Brand tasks as interesting every bit possible.
  15. Allow children to piece of work with partners.
  16. Alternate high and low interest tasks.
  17. Give targeted children priority seating close to the teacher.
  18. Increase or provide novelty at afterwards stages of the task to keep the child motivated.
  19. Decrease the length of the tasks you lot assign.
  20. Break up tasks into smaller parts.
  21. Have tasks arranged and then that children complete smaller parts subsequently longer parts.
  22. For every task students tend not to prefer, appoint in two preferred tasks. Allow students know that this volition happen.
  23. Give fewer math or spelling bug. For example, have the child do only the odd or even problems. Or put fewer problems (words on one page).
  24. Use distributed (rather than mass) exercise for problems starting time a task.
  25. Increase structure and/or add emphasis to relevant parts of a task or consignment.
  26. Enquire a child to echo directions.
  27. Use written directions.
  28. Gear up realistic standards for acceptable work.
  29. Point out topic sentences, headings, etc. to improve job completion.
  30. Use lists and assignment organizers.
  31. Substitute verbal or motor responses for written responses.
  32. Accept a child work on easier parts of a task before tackling the more difficult ones.
  33. Underline key words in directions.
  34. Let tranquility play.
  35. Encourage notation taking for older children in high school.
  36. Reward brusk intervals of patient waiting.
  37. Don't assume that impulsive behaviors are ambitious.
  38. Cue the child to upcoming hard times when extra control is needed.
  39. Bring distracters or toys that are repose and absorbing.
  40. Encourage later school activities.
  41. Develop the child's sense of conviction and responsibility.
  42. Encourage targeted children to play with children who can serve equally positive office models.
  43. Model good behavior.
  44. Reward good behavior.

Special populations

At that place are few straight studies of differences in brain development betwixt girls and boys, and few to none on ethnicity. However, at that place are a number of studies looking at differences in brain construction and functioning in children with learning disabilities (LDs), autistic spectrum disorder or ADHD. Findings shed lite on the difficulties that tin can arise when brain development does not get according to plan.

The next paragraphs briefly review the literature on gender differences, learning disabilities and ADHD. The review is not exhaustive, as research in this area is ongoing. It continues to contribute to our understanding of how the brain matures and give united states ideas about interventions that can be used to convalesce problems.

Gender

Although at that place are few studies looking at gender differences in young girls and boys, it has been found that developed women have a larger corpus callosum (a bundle of myelinated fibers connecting the two hemispheres) than men (Semrud-Clikeman, Fine, & Bledsoe, 2009). This may mean that in women the 2 hemispheres communicate better with each other. In addition, there are indications that women accept their skills spread throughout the brain, while males tend to accept their skills in specific regions of the brain. It is not clear whether these differences are universally present. As a result, much more research is needed.

Learning disabilities

More than and more we are learning that children with learning disabilities have brains that are different. Using magnetic resonance imaging (MRI), many studies take found that the encephalon area involved in matching sounds and messages is compromised in children with dyslexia (Maisog, Einbinder, Flowers, Turkeltaub, & Eden, 2008). These smaller encephalon areas correlate with poorer functioning on tests of reading accomplishment, give-and-take attack and rapid naming ability of letters, numbers and objects (Gabrieli, 2009). The corpus callosum has also been establish to differ in children with dyslexia. The differences are found in regions connecting areas involved in linguistic communication and reading (Fine, Semrud-Clikeman, Stapleton, Keith, & Hynd, 2006). These differences appear to exist due to decreased rates of pruning during the fifth and seventh month of gestation (Paul, 2011).

Functional MRI (fMRI) findings are get-go to suggest that children with LDs process information differently from those without LDs. Frontal brain regions are more efficient in fluent developed readers compared to children who are kickoff to read (Schlaggar, 2003). As a child develops, the left frontal region becomes more than agile. But, fluent reading appears to exist related to this region likewise. More fluent readers activate this surface area more than than children with reading difficulties (Schlaggar et al., 2002). Moreover, children with learning problems show more action in the "wrong" places. For case, their parietal and occipital areas are more active, and they show more than action in the right hemisphere than the left. In contrast, children without learning problems actuate the frontal regions and the left hemisphere with less activation in the right hemisphere.

Brain video

Activation of the brain is more than diffuse when children are beginning to learn to read. The activation gradually becomes more than specialized as reading improves. Similarly, when asked to read single words, normal readers show left hemispheric activation, whereas those with dyslexia evidence more right hemispheric activation (Breier, et al., 2002; Papincolaou, 2003).

Brain regions in the left hemisphere and temporal region have been found to exist more than active in good readers compared to those who had compensated for their dyslexia and were able to read adequately (Raizada, Tsao, Liu, Holloway, Ansari, & Kuhl, 2010). In addition, Gabrieli (2003) found that improvements were found in activation following remediation of auditory processing ability. It is not yet clear whether these changes continue over time; further study is needed to understand possible brain response to remediation. This finding is important because activation of the left hemisphere, a region specialized for language functions, plays an important part in reading while the right hemisphere has mostly been implicated for processing of novel stimuli . Since children with learning disabilities activate the right hemisphere when they read, this seems to indicate that they notice reading to exist a more than novel task than a learned task.

Early reading uses visual-perceptual processes generally located in the posterior portion of the encephalon. As the reading process becomes more than automatized , the frontal systems become more than active. Thus, the progression from elementary alphabetic character and word calling to actual reading comprehension requires a maturation of neural pathways linking the back of the brain to the front (Shaywitz, 2004). Changes from right hemispheric processing to left hemispheric processing have likewise been constitute to occur with comeback in reading skills and improvement in language operation. Such changes are not found for children with dyslexia, and their reading skill does non go automatic and effortless. Additional research is progressing in learning disabilities in older students.

Attention arrears hyperactivity disorder

At that place have been several studies of the possible structural differences between children with and without attention deficit hyperactivity disorder (ADHD) (Bledsoe, Semrud-Clikeman, Pliszka, 2009; Castellanos, Sonuga-Barke, Milham, & Tannock, 2006; Cherkasova, & Hechtman, 2009; Shaw, Eckstrand, Abrupt, Blumenthal, Lerch, Greenstein, ... & Rapoport, 2007). A written report of full encephalon book constitute a 5 percent smaller volume in the brains of the group with ADHD compared to a control group. This difference in volume was non related to age, height, weight, or IQ. Another structure of interest has been the caudate nucleus . The caudate nucleus is located in the eye of the brain and is associated with the neurotransmitter dopamine . The caudate has been found to be smaller in children with ADHD, possibly indicating less availability of dopamine — the neurotransmitter that assists with focusing of attention and impulse control (Semrud-Clikeman et al., 2006). Volumetric studies take also found smaller frontal lobe volumes in children with ADHD specially the white matter book of the frontal lobe. Differences have likewise been noted in the white matter in the posterior regions of the brain peculiarly for those children who did not reply to stimulant medication such equally Ritalin (Hale, Reddy, Semrud-Clikeman, Hain, Whitaker, Morley, ... & Jones, 2011).

Caudate nucleus

3-D analogy of the Caudate

Coronal slice showing white matter

Coronal slice showing white matter

The finding of reduced white affair book in the right frontal and posterior regions of the brain, besides every bit caudate disproportion differences, suggests that systems unremarkably associated with sustained attention are different for children with ADHD. This finding may help to explain the difficulty children with ADHD take in more avant-garde attentional functions, such as self-regulation and executive function. Reduced white-affair volume leads to less communication betwixt the frontal and posterior areas. The posterior region of the encephalon is responsible for accessing data from previous situations while the frontal region of the encephalon applies this knowledge to the current situation at hand. When at that place is not enough advice betwixt these two centers, the child will accept difficulty either accessing previously learned information or applying it correctly to the new situation. This corresponds to the finding that a child with ADHD has difficulty applying knowledge (or rules) even though he/she may be able to tell you lot the rule.

A fairly new avenue of investigation is the gene X environment interaction to assistance empathise the etiology and course of ADHD. Nigg et al. (2010) reviewed the literature and found that psychosocial factors contribute to attentional difficulty. For example, a child may practice adequately if family stresses are lower. However, if family disruptions (divorce, contentious parenting) occur, significant impairment may ensue. ADHD has a relatively loftier heritability meaning that it tends to run in families. In these families there may be genetic liability that in turn will collaborate with environmental triggers. Thus, when working with families with a history of ADHD, it is important for educators to provide information every bit appropriate and to be enlightened of these vulnerabilities.

The development of fewer connections between brain areas may well bear on the efficiency of these connections — resulting in a poorer level of functioning but not a total loss of role (Fair, Nagel, Bathula, Dias, Mills, ... & Nigg, 2010; Makris, Buka, Biederman, Papadimitriou, Hodge, Valera, ... & Seidman, 2008; Nigg, 2006). Functional neuroimaging, which allows one to view what the brain is doing when the person is completing a task, showed lowered activation in the regions of the frontal lobe and caudate nucleus when the child is asked to inhibit a response. (Non respond when he/she would like to respond) (Pliszka et al., 2006). Less activation may well indicate fewer connections being made between neural networks and poorer attention to item. Additional report is needed in this area to more fully understand differences that may be present in children with ADHD and those without.

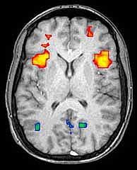
FMRI axial slice image

fMRI axial slice paradigm

Autistic spectrum disorders

Children with autism have been found to accept larger heads than the full general population (Verhoeven, De Erect, Lagae, & Sunaert, 2010). It has been found that the brains of toddlers with autism are x percent larger than same-anile peers, with the largeness of the caput decreasing with historic period. They continue, even so, to be larger than matched aged peers throughout life (Anagnostou, & Taylor, 2011). Interestingly, there is no difference in head size at birth (Keller, Kana, & But, 2007) and the encephalon growth that later occurs may be due to early overgrowth of neurons, glial cells and a lack of synaptic pruning. Dissection studies have constitute that children with autism had both greater total prefrontal neuron counts and brain weight for their historic period than command children (Courchesne, et al., 2011). Findings accept suggested that the extra tissue that causes the increase in size is not well utilized or organized — thus resulting in poorer skill development (Aylward et al., 2002). Specific additional findings indicate an increase in gray-matter volume especially in the temporal lobes (Herbert et al., 2002; Rojas et al., 2002). Using structural MRI analyses, Courchesne et al. (2003) constitute smaller amounts of white affair compared to gray matter in toddlers and adolescents. Other studies of adults with autism have found reduced size of the corpus callosum (Hardan, Minshew, & Keshava, 2000), a structure that connects the two hemispheres, besides as difficulties with inter-regional integration (also a white matter function) (Hadjikhani, Joseph, Snyder, & Tager-Flusberg, 2006). Some studies have suggested that the larger encephalon, higher white matter book and disrupted gray matter cellular columns may contribute difficulty that a person with autism has in integrating data and generalizing this information to new situations (Schultz et al., 2000). These difficulties may interfere with the person'south ability to put information together into an understandable whole.

fMRI Autism vs. healthy control activation pattern

fMRI autism vs. healthy control activation pattern

Brain volume

MRI autism vs. healthy command volume comparision

The amygdala, anterior cingulate and hippocampus are part of the limbic system — the emotional role of the brain. The amygdala is important in emotional arousal, too as processing social information. The hippocampus allows for the short-term and eventual long-term storage of information while the anterior cingulate works as a blazon of central executive, directing attending where it is nearly required.

Autopsies of autistic individuals have revealed abnormalities of both the hippocampus and the amygdala including fewer connections and smaller hippocampi. This finding could atomic number 82 to difficulties in forming new memories or associating emotions with past memories (Carlson, 2014), and may contribute to difficulties seen in people with autism with respect to social reciprocity and social sensation. Structural neuroimaging studies of children with autism show the volume of the amygdala and hippocampus to be enlarged (Groen, Teluij, Buitelaar, & Tendolkar, 2010), although farther enquiry is needed in these areas. Some have suggested that the amygdala may exist of import for mediating physiological arousal and if it is not as active, the person may well not be as motivated for participating in social activities (Murphy, Deeley, Daly, Ecker, O'Brien, Hallahan, & Murphy, 2012).

Limbic system

More recent studies have begun evaluating discrete areas of the brain that may be disrupted in people with autism. An area of the temporal lobe that has been institute to be important for recognizing faces has been studied in children with autism. This surface area has been found to be underactive in people with autism and the degree of under-activation is highly correlated with the caste of social impairment (Schultz et al., 2001). Of additional interest is that this area of the temporal lobe has also been implicated in successful solution of Theory of Heed tasks, skills that are likewise dumb in people with autism (Castelli et al., 2000; Martin & Weisberg, 2003).

Both the frontal lobes and the upper area of the temporal lobes are important for understanding and perception of social interactions every bit well equally estimation of facial expressions. The frontal lobes have likewise been implicated in the ability to take another'southward perspective — or in social cognition. These areas are intimately connected to the limbic system as well as the temporal lobe areas discussed earlier in this section. Studies of brain metabolism take found reduced activeness in these regions of the brain in patients with autism particularly when asked to perform tasks that tap social knowledge and perception (Harms, Martin, & Wallace, 2010).

  • Center for Excellence in Autism Inquiry at the Academy of Pittsburgh
  • Autism Speaks

References

Anagnostou, E., & Taylor, M. J. (2011). Review of neuroimaging in autism spectrum disorders: what have we learned and where we go from here. Mol Autism, 2, 4-4.

Aylward, Due east. H., Richards, T. L., Berninger, V. W., Nagy, W. E., Field, K. Thou., Grimme, A. C., ... & Cramer, S. C. (2003). Instructional treatment associated with changes in encephalon activation in children with dyslexia. Neurology, 61, 212-219.

Aylward, E. H., Minshew, North. J., Field, Thou., Sparks, B. F., & Singh, N. (2002). Effects of historic period on brain volume and head circumference in autism. Neurology, 59, 175-183.

Bledsoe, J., Semrud-Clikeman, M., & Pliszka, S. R. (2009). A magnetic resonance imaging report of the cerebellar vermis in chronically treated and handling-naive children with attention-arrears/hyperactivity disorder combined type. Biological psychiatry, 65, 620-624.

Breier, J., Simos, P. G., & Fletcher, J. Thousand. (2002). Abnormal activation of tempoparietal language areas during phonetic analysis in children with dyslexia. Neuropsychology, 17, 610-621.

Carlson, North.R. (2014). Physiology of Beliefs (xi thursday edition). Bloomington, MN: Pearson.

Castellanos, F. X., Sonuga-Barke, Due east. J., Milham, Thou. P., & Tannock, R. (2006). Characterizing noesis in ADHD: across executive dysfunction. Trends in cognitive sciences, x, 117-123.

Castelli, F., Frith, C., Happe, F., & Frith, U. (2002). Autism, Asperger's syndrome and brain mechanisms for the attribution of mental states to animated shapes. Encephalon, 125, 1839-1849.

Cherkasova, One thousand. 5., & Hechtman, Fifty. (2009). Neuroimaging in attention-deficit hyperactivity disorder: beyond the frontostriatal circuitry. Canadian periodical of psychiatry. Revue canadienne de psychiatrie, 54, 651-664.

Corbetta, M., & Shulman, Grand. L. (2002). Control of goal-directed and stimulus-driven attention in the brain. Nature reviews neuroscience, 3, 201-215.

Courchesne, E., Mouton, P.R., Calhoun, M.Eastward., Semendeferi, Thousand., Ahrens-Barbeau, C., Hallet, MJ, Barnes, C.C., & Karen Pierce, K. (2011). Neuron number and size in prefrontal cortex of children with autism. Journal of the American Medical Clan, 306, 2001-2010.

Damasio, A. (2008). Descartes' fault: Emotion, reason and the human brain. Random Business firm.

Diamond, A. (2006). The early development of executive functions. Lifespan cognition: Mechanisms of change, 70-95.

Diamond, A., & Lee, Grand. (2011). Interventions shown to assistance executive function development in children iv to 12 years old. Science, 333(6045), 959-964.

Fair, D. A., Posner, J., Nagel, B. J., Bathula, D., Dias, T. M. C., Mills, Yard. Fifty., ... & Nigg, J. T. (2010). Singular default network connectivity in youth with attention-arrears/hyperactivity disorder. Biological psychiatry, 68, 1084-1091.

Fine, J. G., Semrud-Clikeman, M., Keith, T. Z., Stapleton, L. M., & Hynd, Grand. Due west. (2007). Reading and the corpus callosum: An MRI family written report of volume and expanse. Neuropsychology, 21, 235-241.

Fiorello, C. A., Unhurt, J. B., & Snyder, Fifty. E. (2006). Cognitive hypothesis testing and response to intervention for children with reading problems. Psychology in the Schools, 43, 835-853.

Gabrieli, J. D. (2009). Dyslexia: a new synergy between education and cognitive neuroscience. Science, 325, 280-283.

Gabrieli, J. (2003). Neuroimaging evidence about the brain basis of dyslexia. Paper presented at the International Dyslexia Clan conference in San Diego.

Gazzaniga, M. Southward., & Mangun, G. R. (2014). Cognitive neuroscience (4 th ed). Boston: MIT Press.

Goeggel, Due south. B., Berger, S., Hagmann, B. B., & Steinlin, 1000. (2012). [Traumatic brain injury in children]. Praxis, 101, 317-324.

Groen, W., Teluij, K., Buitelaar, J., & Tendolkar, I. (2010). Amygdala and hippocampus enlargement during adolescence in autism. Journal of the American Academy of Kid & Adolescent Psychiatry, 49, 552-560.

Gross-Glenn, M., Duara, R., Barker, W. W., & Loewenstein, D. (1991). Positron emission tomographic studies during serial discussion-reading by normal and dyslexic adults. Periodical of Clinical and Experimental Neuropsychology, 13, 531-544.

Hadjikhani, N., Joseph, R. Grand., Snyder, J., & Tager-Flusberg, H. (2006). Anatomical differences in the mirror neuron system and social cognition network in autism. Cognitive cortex, sixteen, 1276-1282.

Hale, J. B., Reddy, L. A., Semrud-Clikeman, M., Hain, L. A., Whitaker, J., Morley, J., ... & Jones, North. (2011). Executive impairment determines ADHD medication response: implications for academic achievement. Journal of learning disabilities, 44, 196-212.

Hardan, A. Y., Mishew, N. J., & Keshavan, Thousand. S. (2000). Corpus callosum size in autism. Neurology, 55, 1033-1036.

Harms, M. B., Martin, A., & Wallace, Grand. 50. (2010). Facial emotion recognition in autism spectrum disorders: a review of behavioral and neuroimaging studies.Neuropsychology review, xx, 290-322.

Herbert, M. R., Ziegler, D. A., Deutsch, C. K., O'Brien, L. M., Lange, N., & Bakardjiev, A., et al. (2003). Dissociations of cognitive cortex, subcortical and cognitive white matter volumes in autistic boys. Encephalon, 126, 1182-1192

Konarski, J.Z., McIntyre, R.S., Kennedy, S.H., Rafi-Tari, S. Soczynska, J.Chiliad., & Ketter, T.A. (2008). Volumetric neuroimaging investigations in mood disorders: Bipolar disorder versus major depression disorder. Bipolar Disorders, 10, 1-37.

Maisog, J. 1000., Einbinder, E. R., Flowers, D. L., Turkeltaub, P. E., & Eden, G. F. (2008). A Meta ‐ analysis of Functional Neuroimaging Studies of Dyslexia. Annals of the New York Academy of Sciences, 1145, 237-259.

Makris, North., Buka, South. L., Biederman, J., Papadimitriou, One thousand. Chiliad., Hodge, S. Thousand., Valera, E. M., ... & Seidman, 50. J. (2008). Attending and executive systems abnormalities in adults with childhood ADHD: A DT-MRI study of connections. Cerebral Cortex, 18, 1210-1220.

Martin, A., & Weiberg, J. (2003). Neural foundations for understanding social and mechanical concepts. Cerebral Neuropsychology, 20, 575-587.

Meltzer, Fifty. (2011). Executive function in instruction: From theory to exercise. New York: Guilford Press.

Irish potato, C. M., Deeley, Q., Daly, East. Yard., Ecker, C., O'Brien, F. Thou., Hallahan, B., ... & Murphy, D. M. (2012). Anatomy and aging of the amygdala and hippocampus in autism spectrum disorder: an in vivo magnetic resonance imaging study of Asperger syndrome. Autism Research, v, iii-12.

Nigg, J.T. (2006). What causes ADHD? Understanding what goes wrong and why. New York: Guilford Press.

Nigg, J.T., Nikolas, Yard., & Burt, S.A. (2010). Measured cistron-by-environment interaction in relation to Attention Deficit/Hyperactivity Disorder. Periodical of the American Academy of Child and Adolescent Psychiatry, 49, 863-873.

Papanicolaou, A. C. (2003). Brain imaging in normal and impaired reading: A developmental-educational perspective. Paper presented at the International Dyslexia Association conference in San Diego.

Paul, 50. G. (2011). Developmental malformation of the corpus callosum: a review of typical callosal development and examples of developmental disorders with callosal interest. Journal of Neurodevelopmental Disorders, 3, 3-27.

Pliszka, South. (2005). The neuropsychopharmocology of Attention Deficit Hyperactivity Disorder. Biological Psychiatry, 57, 1385-1390.

Plizska, Southward., Glahn, D., Semrud-Clikeman, M., Franklin, C., Perez Iii, R., & Liotti, Chiliad., (2006). Neuroimaging of inhibitory control in handling naïve and chronically treated children with ADHD. American Journal of Psychiatry, 163, 1052-1060.

Posner, Chiliad. I., & Rothbart, M. One thousand. (2007). Inquiry on attention networks equally a model for the integration of psychological science. Annu. Rev. Psychol., 58, 1-23.

Raizada, R. D., Tsao, F. Thousand., Liu, H. M., Holloway, I. D., Ansari, D., & Kuhl, P. Chiliad. (2010). Linking encephalon-wide multivoxel activation patterns to behaviour: Examples from language and math. NeuroImage, 51, 462-471.

Rojas, D. C., Bawn, Southward. D., Benkers, T. L., Reite, M. L., & Rogers, Southward. J. (2002). Smaller left hemisphere planum temporale in adults with autistic disorder. Neuroscience Letters, 328, 237-240.

Rothbart, M. K., Ellis, L. Thou., Rosario Rueda, M., & Posner, M. I. (2003). Developing mechanisms of temperamental effortful command. Journal of personality, 71, 1113-1144.

Schlaggar, B. 50. (2003). FMRI and the development of single word reading. Newspaper presented at the International Dyslexia Clan conference in San Diego.

Schlaggar, B. L., Brown, T. T., Lugar, H. M., Visscher, Thousand. M., Miezin, F. M., & Petersen, S. E. (2002). Functional neuroanatomical differences between adults and school-historic period children in processing of single words. Science, 296, 1476.

Schultz, R. T., Romanski, L., & Tsatsanis, 1000. (2000). Neurofunctional models of autistic disorder and Asperger'southward syndrome: Clues from neuroimaging. In A. Klin, F.R. Volkmar, & S.S. Sparrow (Eds.), Asperger's syndrome (pp. 19-209). New York: Plenum Press.

Semrud-Clikeman, Grand. (2007). Social competence in children and adolescents. New York: Springer.

Semrud-Clikeman, One thousand. (2006). Neuropsychological aspects for evaluating LD. Periodical of Learning Disabilities, 38, 563-568.

Semrud-Clikeman, M. & Ellsion, P.A.T. (2009). Kid Neuropsychology. New York: Springer.

Semrud-Clikeman, M., Fine, J.Grand., & Bledsoe, J. (2009). Neuroimaging in women. In Due east. Fletcher-Janzen (Ed.), Neuropsychology of Women (pp. 1-37). Boston, Springer.

Semrud-Clikeman, M., Plizska, Southward., Liotti, G., Higgins, K., & Lancaster, J. L. (2006). Neuroimaging in children with ADHD, treated and handling naïve. Neurology, 67, 1023-1027.

Shaw, P., Eckstrand, G., Sharp, W., Blumenthal, J., Lerch, J. P., Greenstein, D., ... & Rapoport, J. L. (2007). Attention-deficit/hyperactivity disorder is characterized by a delay in cortical maturation. Proceedings of the National Academy of Sciences, 104, 19649-19654.

Shaywitz, S. (2004). Overcoming dyslexia. New York: Alfred A. Knopf.

Seidman, L. J., Valera, Eastward. M., & Makris, Due north. (2005). Structural brain imaging of attending-deficit/hyperactivity disorder. Biological psychiatry, 57(eleven), 1263-1272.

Swanson, J. Chiliad., Kinsbourne, M., Nigg, J., Lanphear, B., Stefanatos, G. A., Volkow, N., ... & Wadhwa, P. D. (2007). Etiologic subtypes of attention-deficit/hyperactivity disorder: encephalon imaging, molecular genetic and environmental factors and the dopamine hypothesis. Neuropsychology review,17, 39-59.

van Zomeren, A. H., & Brouwer, W. H. (1994). Clinical neuropsychology of attention. New York: Oxford Academy Printing.

Verhoeven, J. South., De Cock, P., Lagae, L., & Sunaert, S. (2010). Neuroimaging of autism. Neuroradiology, 52, three-14.

Glossary

Abstract: Higher-level reasoning or agreement.

Amygdala: An almond-shaped cluster of neurons in the limbic organisation thought to be involved in processing emotions and retentivity.

Inductive cingulate: Anterior section of the cingulate cortex. Asymmetry: favoring one side or the other. As well called laterality.

Attending deficit hyperactivity disorder: Mental disorder that consists of behaviors such as impulsivity, hyperactivity and difficulties with inhibition and self-regulation

Automatized: To make a skill and so automatic that one does not demand to think nearly it while performing it.

Caudate nucleus: Part of the Basal-Ganglia, the Caudate nucleus is idea to exist involved in regulation of motion, learning and memory.

Corpus Callosum: A white thing construction that connects the right and left hemispheres of the cognitive cortex. Thought to comprise approximately 250 million axons that allow correct and left hemisphere advice.

Dopamine (DA): Function of the catecholamine family of neurotransmitters (epinephrine and norepinephrine), Dopamine is naturally produced in the brain and is idea to be involved in advantage-based cognitive functions.

Dyslexia: A learning inability that causes difficulties in reading and writing.

Empathy: The ability to recognize and vicariously experience some other person's emotional country.

Executive office: Higher-guild cognitive processes that allow 1 to control arrangement of thought, and utilise context specific rules in order to execute a task successfully.

Formal operations: The skill to retrieve systematically about all of the parts of a problem and to arrive at a reasonable solution.

Frontal lobes: Area of the brain fabricated up by the front portions of right and left hemispheres of the cerebral cortex. These areas are involved in memory, planning, organization, linguistic communication and impulse control. These areas also have been linked to personality.

Functional magnetic resonance imaging (fMRI): A technique in which neural action is measured by changes in blood menses. Brighter areas on an fMRI images bespeak higher amounts of blood catamenia and greater action.

Generalize: To apply a conclusion beyond a specific example.

Glial cells: Cells of the nervous organisation that provide physical back up and diet for neurons. College cognitive functions: See executive functions.

Hippocampus: Part of the limbic arrangement involved in storing new knowledge.

Impulsive: Behaviors that are not thought out.

Inferential thinking: Reading between the lines, often involves meaning that is implied rather than explicit.

Inhibition: The ability to regulate beliefs or impulses.

Inter-regional integration: Neural connections that are similar in location. Language: A system/grouping of symbols used in exact and visual communication.

Learning disability: Difficulties in the development of language, reading, mathematical reasoning or other academic undertakings compared to expectations of one's ability. Believed to be neurological in nature.

Left hemisphere: The left side of the cognitive cortex, thought to mediate language and verbal communication.

Limbic system: A multistructural organization involved in emotions, memory and physical regulation. Structures such as the amygdala, cingulate gyrus, hippocampus, hypothalamus, ammillary trunk, nucleus accumbens, orbitofrontal cortex, and thalamus are all structures of the limbic organisation.

Memory: Ability to store and recall conceptual, social, emotional and physical information.

Metacognition : Thinking about 1's own learning, thinking or perception.

Myelinate: The white matter in the brain. It is fabricated up of lipids (fatty) that aid impulses motility more quickly forth the nerve.

Myelination: Process during development by which Myelin is formed over the neurons.

Neuronal pathways: These are pathways through which nervus messages travel as they move among the diverse parts of the brain.

Neurons: Cells that make up the nervous system, they process and transmit signals electrically.

Neurotransmitter: Nervous system chemicals that relay, amplify and modulate electrical signals from ane neuron to another neuron.

Perspective-taking: The power to understand some other person's point of view or beliefs. Processing of novel stimuli: Analyzing new data that the brain has not seen before.

Pruning: Process by which brain cells die off in order to brand room for more efficient connections between neurons.

Reasoning: Mental process that deals with one'due south power to perceive and respond to feelings, thoughts and emotions.

Right hemisphere: The right side of the cerebral cortex, thought to mediate spatial, social and emotional understanding.

Risk-prone: Susceptible to taking chances and making mistakes.

Rote: Learning by memorization.

Self-regulation: Ability to command one'southward behavior and cognitive processes.

Social understanding: Ability to manage and function in social settings such as peer relationships.

Sustained attention: The ability to maintain ane's focus on an activity or stimulus of selection.

Synaptic pruning: When weaker neural connections are thinned and replaced past stronger connections.

Temporal region: The side region of the cerebrum thought to be involved in auditory processing.

Theory of Mind tasks: Tasks that evaluate whether one has the ability to consider some other'south personal beliefs, needs, desires and intentions.

Transmission fibers: Axonal connections involved in neural advice.

Visual-motor: Coordination of visual and motor processes, like tracing letters.

Visual-perceptual processes: Ability to correctly interpret visual stimuli, similar reading words. White thing fibers: Myelinated axons.

White matter volume: Quantified amount of myelinated axons.